矯正科
矯正治療

幼児から学童期までの乳歯期~混合歯列期において取り外し式の1次矯正を主に行っています。乳歯、咬合歯列期における軽度の叢生(ガタガタ)や1~4本の反対咬合、出っ歯などの改善に使います。費用は一番安いもので8万円からあります。最高でも20万円程度です。治療期間は症状によりますが早ければ半年長くともおよそ1年程度です。
全顎の矯正では取り外しの出来ないフルブラケットシステムを行っています。中学生から成人まで一番ポピュラーな治療装置です。治療期間は約2年ほどです。
費用はおよそ片顎30万円で、上下顎50万円程度です。(全て税別です)
矯正1 メタルブラケット
当歯科医院では審美的に悪いのでメタルブラケットは基本的には扱っておりません。
希望があればお使いします。
矯正2 審美ブラケット
当歯科医院では審美ブラケットのみ扱っています。殆ど目立ちません。
矯正2 マウスピース
成人矯正に使う取り外し式のマウスピース矯正装置です。2週間から1ヶ月ごとにマウスピースを交換するので技工操作等で高額になります。
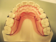
リテーナー(矯正後の保定装置)



歯の移動(矯正)が終わったら後戻りしないように保定装置を数年装着しないといけません。
片顎 300,000円
上下顎 500,000円
小児矯正 100,000円~200,000円
