セラミック・ハイブリッド

歯は天然色であるべきと強く考えています。
しかし保険治療では前歯以外は全て銀歯で作られてしまいます。自費診療においては前歯はもちろん奥歯にも白い天然色の強い歯を入れることが可能です。
是非奥歯も白く美しくしたいと思いませんか?

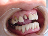
右上1番・3番を形成

セラミッククラウンを装着

右下1番不適合のクラウン

形成しました

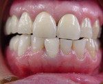
セラミック装着しました

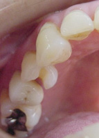
5番にセラミッククラウンを入れました

4番にセラミックインレーを入れました

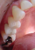
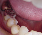
右下6番銀のインレー

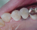
ハイブリッドインレーを装着

ハイブリッドセラミックス

咬合面観

唇面観
セラミックは審美性においても強度的にも最も優れています。
前歯部においては審美性を重視してセラミッククラウンを絶対的に推奨しますが、臼歯部においてはコスト的にもハイブリッド性のクラウンやインレーがお勧めです。
ハイブリッドセラミックスは天然歯と変わらぬ硬度で審美的にも優れています。
セラミッククラウン 80,000円~100,000円
セラミックインレー 40,000円
ハイブリッドインレー 25,000円~30,000円
ハイブリットクラウン 50,000円~60,000円
※ハイブリッドクライン(CAD/CAM冠)は、2018年より上下小臼歯(4・5番)と
下顎第一大臼歯(6番)が保険適応になりました。
